Clogged 'drains' in the brain an early sign of Alzheimer’s
‘Drains’ in the brain, responsible for clearing toxic waste in the organ, tend to get clogged up in people who show signs of developing Alzheimer’s disease, according to a new study from Nanyang Technological University, Singapore (NTU Singapore). The research suggests that this clogging condition, known as ‘enlarged perivascular spaces’, is a likely early-warning sign for Alzheimer’s.
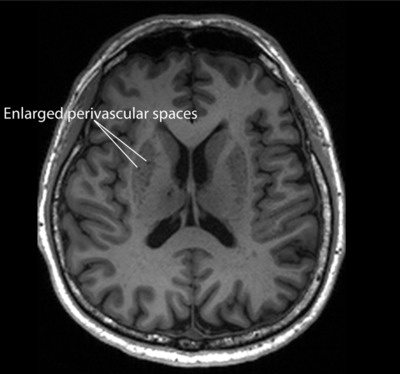
Blood vessels in the brain are surrounded by perivascular spaces where toxic waste in the brain, such as beta amyloid and tau proteins, drains into and is cleared. If these drains get clogged because the brain’s system of clearing toxic waste is not working efficiently, they form enlarged perivascular spaces, which can be seen on magnetic resonance imaging (MRI) scans. But it was not previously clear if this condition was also linked to Alzheimer’s disease.
The NTU researchers sought to address issues with earlier studies by comparing the clogged brain drains against more Alzheimer’s disease indicators than previously tested. They also compared the jammed drains against hallmark indicators of Alzheimer’s — beta amyloid proteins and damage to the brain’s white matter, which is a nerve fibre network connecting various parts of the brain.
The researchers studied close to 1000 participants in Singapore from different ethnicities, including nearly 350 who do not have any cognitive problems. The rest of the participants had features suggesting early stages of cognitive disease — including mild cognitive impairment, which is a stage that precedes overt dementia. According to past research, those with mild cognitive impairment have a higher risk of developing dementia like Alzheimer’s disease and vascular dementia, which is a type of dementia caused by reduced blood flow to the brain.
The researchers analysed the MRI scans of the participants and found that those with mild cognitive impairment tend to have more enlarged perivascular spaces compared to the other participants. The scientists also took seven measurements based on specific biochemicals in the participants’ blood, including beta amyloid and tau proteins, whose presence is a warning sign that a person has Alzheimer’s.
As revealed in the journal Neurology, the presence of clogged drains in the brain was linked to four of the seven measurements. So, people with enlarged perivascular spaces are likely to have more amyloid plaques, tau tangles and brain cell damage in their brains than normal, and are thus at higher risk of developing Alzheimer’s.
The researchers also studied if damage to the brain’s white matter, a well-known indicator of Alzheimer’s, was linked to the biochemicals tied to the disease, and they did find such links with six of the seven biochemical measurements, but with a twist.
They further compared the white matter damage against enlarged perivascular spaces, and discovered that in participants with mild cognitive impairment, the link with biochemicals tied to Alzheimer’s was stronger for enlarged perivascular spaces than for white matter damage. This suggests that choked brain drains are early indicators of Alzheimer’s disease.
“The findings carry substantial clinical implications,” said Associate Professor Nagaendran Kandiah, who led the study. “Although white matter damage is more widely used in clinical practice to evaluate for dementia, as it is easily recognised on MRI scans, our results suggest that enlarged perivascular spaces may hold unique value in detecting early signs of Alzheimer’s disease.”

Knowing all this allows clinicians to better figure out what kind of treatment they should use to prevent Alzheimer’s early. This is important because it allows clinicians to step in sooner to try and slow down the worsening of a patient’s cognitive issues like memory loss, slower thinking abilities and mood changes — even before such issues appear.
“Since these brain anomalies can be visually identified on routine … MRI scans performed to evaluate cognitive decline, identifying them could complement existing methods to detect Alzheimer’s earlier, without having to do and pay for additional tests,” Kandiah noted.
Dr Chong Yao Feng, a consultant at the National University Hospital’s Division of Neurology who was not involved in the study, said that cerebrovascular diseases — conditions that cause problems in the blood vessels of the brain — and Alzheimer’s disease are traditionally believed to be caused by different processes.
“The study’s findings are intriguing as they demonstrate that both diseases do interact in a synergistic manner,” Chong said. So, if a doctor orders an MRI brain scan to evaluate a patient’s cognitive symptoms and notices that the scan shows markers of cerebrovascular diseases, such as enlarged perivascular spaces, the clinician should not assume the patient’s cognitive impairment is due only to blood vessel problems.
“Doctors will then have to use their clinical judgement of the patient’s scan and symptoms, as well as discuss with the patient, to determine if more checks are needed to confirm whether a patient has Alzheimer’s disease or not,” Chong said.
The study is also significant as it is one of the few globally to look at Asians, as most tend to focus on Caucasian participants. Asian studies are crucial as past research suggests that there are differences in dementia-related conditions between people from different ethnic groups — so findings in studies on Caucasian patients might not be observed in Asians and vice versa.
The NTU research team plans to follow up on the study participants to check how many go on to develop Alzheimer’s and to confirm that enlarged perivascular spaces can predict that people with these choked drains are more likely to progress to dementia. Also, with more studies establishing the link between the clogged drains and Alzheimer’s in other populations, detecting enlarged perivascular spaces in MRI scans could one day be added to the existing tools available to clinicians to determine much earlier whether a patient will develop Alzheimer’s.
World's oldest known RNA extracted from woolly mammoth
The RNA sequences are understood to be the oldest ever recovered, coming from mammoth tissue...
The voice of reason: natural language interfaces to transform lab informatics
In everyday life, voice interaction with technology can save time and reduce friction. The same...
COVID vax linked to smaller risk of heart problems than infection
The risk of rare heart complications following COVID-19 vaccination in children was found to be...

