New tools to diagnose traumatic brain injury, predict recovery
Researchers from the University of Birmingham have developed a novel diagnostic device to detect traumatic brain injury (TBI) by shining a laser into the eye. Described in the journal Science Advances, the technique is expected to be developed into a handheld device for use in the critical ‘golden hour’ after traumatic brain injury, when life-critical decisions on treatment must be made.
TBI is caused by sudden shock or impact to the head, which can cause mild to severe injury to the brain. Although it needs diagnosis and treatment as soon as possible in order to prevent further irreversible damage, it is hard to diagnose at the point of injury. Moreover, radiological investigations such as X-ray or MRI are very expensive and slow to show results.
The Birmingham researchers designed and developed their novel diagnostic handheld device to assess patients as soon as injury occurs. It incorporates a class 1, CE marked, eye-safe laser and a Raman spectroscopy system, which uses light to reveal the biochemical and structural properties of molecules by detecting how they scatter light, to detect the presence and levels of known biomarkers for brain injury.
The device works by scanning the back of the eye where the optic nerve sits. Because the optic nerve is so closely linked to the brain, it carries the same biological information in the form of protein and lipid biomarkers. These biomarkers exist in a very tightly regulated balance, meaning even the slightest change may have serious effects on brain health. TBI causes these biomarkers to change, indicating that something is wrong. The new device detects and analyses the composition and balance of these biomarkers to create ‘molecular fingerprints’.
The researchers constructed a phantom eye to test the device’s alignment and ability to focus on the back of the eye, used animal tissue to test whether it could discern between TBI and non-TBI states, and also developed decision support tools for the device, using AI, to rapidly classify TBIs. They found that it is fast, precise and non-invasive for the patient, causing no additional discomfort; can provide information on the severity of the trauma; and will be suitable to be used onsite — at the roadside, on the battlefield or on the sports pitch — to assess TBI.
The diagnostic device is now ready for further evaluation including clinical feasibility and efficacy studies, and patient acceptability. The researchers expect the device to be developed into a portable technology for initial ‘on the scene’ diagnosis of TBI as mild, moderate or severe.
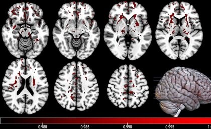
Separately to this, researchers at The University of Queensland (UQ) have used an advanced imaging technique, known as neurite orientation dispersion and density imaging (NODDI), to predict the recovery of children from mild TBI. Mild TBI includes concussion and can result in headaches, difficulty sleeping and/or problems with attention and memory for several months — problems which are caused by disruption to communication between different areas and networks in the brain.
“Our study was the first to use … NODDI to investigate the changes in those networks over time in children with mild traumatic brain injury,” said PhD candidate Athena Stein, who noted that the technology provides more detailed information on structural damage in the brain than traditional magnetic resonance imaging (MRI).
“We found that at one month post-injury, it could predict what recovery would look like 2–3 months later, giving doctors more information to guide treatment and management,” Stein said.
The researchers ultimately investigated changes in the brain over the three months following injury in 80 children who had ongoing injury-related symptoms, and also tested 32 children who had already recovered from injury and compared the results to 21 healthy control children. According to their results, published in the Journal of Neurotrauma, “The children with ongoing symptoms following mild TBI had significantly lower structural integrity and more microstructural damage in their brain networks compared to the healthy controls,” Stein said.
“These findings will advance the clinical management of mild TBI by providing a means to predict recovery,” Stein continued. “Additionally, the evidence of ongoing structural brain changes in the months following injury supports delaying a child’s return to sport.”
Virtual pathology streamlines rapid onsite evaluation
Technology from Grundium, a specialist in digital imaging for pathology, has been shown to match...
Cannabis detected in breath from edibles
Researchers say they have made the first measurement of THC in breath from edible cannabis, in a...
Sydney's tap water contains more PFAS than previously thought
Researchers have identified 21 new per- and polyfluoroalkyl substances (PFAS) in Sydney's tap...

