BPA substitute may promote breast tumour progression
A study led by Hong Kong Baptist University (HKBU) has revealed that different degrees of exposure to bisphenol S (BPS), an industrial chemical widely used in paper products and plastic containers, is associated with the growth and deterioration of breast tumours in a mouse model. The study results suggest the need for more in-depth and comprehensive research on the potential negative impact of BPS on human health, and the ongoing search for a safer alternative for use in industrial production.
In the past, bisphenol A (BPA) was widely used in the production of a diverse range of products, such as baby bottles, food and beverage containers, and the thermal paper used for printing receipts. As previous research has shown an association between BPA exposure and human endocrine system disruption, metabolic disease and an increased risk of breast cancer in recent years, scientists have looked for alternatives to BPA, and BPS has been used as one of the substitutes. Despite reports on the adverse effects of BPS on human health, its impact on tumour progression and how it disrupts the relevant metabolic processes in breast cancer remain poorly understood.
A research team led by Professor Cai Zongwei, Director of the State Key Laboratory of Environmental and Biological Analysis at HKBU, carried out several experiments to explore how BPS exposure at environmentally relevant levels affects the development of breast tumours, including the tumour’s morphological characteristics as well as lipid and protein distribution, with the aid of mass spectrometry imaging technology. The results were published in the Journal of Hazardous Materials.
BPS exposure increases tumour volume and weight
The research team conducted experiments on three groups of mice model that had been transplanted with human breast cancer cells. In the first dosing group (BPS-10 group), the mice were fed daily with a lower dosage of 10 micrograms of BPS per kilogram of body weight for eight weeks. In the second group (BPS-100 group), the mice were fed with a higher dosage of 100 micrograms of BPS per kilogram of body weight. The mice in the control group were fed olive oil.
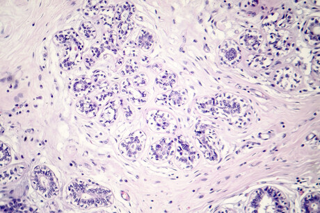
Tumour proliferation in the mice was then investigated, and the team used morphological analysis to study the breast tumour tissue. In general, increases in tumour volume and weight represent proliferation of tumour tissues. When a tumour further develops, the condition of its necrotic region and its peripheral tissues will change. However, the volume and weight of the tumour may reduce as a result of changes in the conditions of the tissues.
After the eight-week experiment, the average volume and weight of the tumours in the BPS-10 group were 13 times and 11 times higher than that of the control group respectively, and the average volume and weight of the tumours in the BPS-100 group were 4 times and 4.5 times higher than that of the control group respectively. The results thus show that exposure to BPS was closely related to the proliferation and deterioration of breast tumours.
The research team analysed the necrotic region and neoplastic region of the breast tumours in the three groups of mice. The two regions are common pathological features of solid tumours. An increase in the relative proportion of the necrotic region reflects the proliferation of the tumour, while an extended neoplastic region indicates the deterioration of the tumour.
In the control group, the status of tumour cells in the necrotic region and the neoplastic region was stable, and the mice from the group showed no significant tumour proliferation and deterioration after the experimental period. However, in the two BPS treated groups, an increase in tumour size was observed along with changes in the arrangement and distribution of tumour cells conducive to tumour proliferation and deterioration.
After the experiment, the necrotic regions in the BPS-10 and the BPS-100 groups accounted for 54.7% and 11.5% of the average section area of the tumours respectively. The results indicate that a low dosage of BPS induces faster tumour growth, and a high dosage of BPS may ultimately lead to deterioration of the tumour, as shown by the relatively small average size of the necrotic region and the extended neoplastic tissue in the BPS-100 group.
BPS affects the distribution of tumour-related lipids and proteins
The research team identified six lipid biomarkers that regulate tumour growth. With the analysis of tumour tissues’ morphological characteristics and the use of mass spectrometry imaging, it was found that in the two BPS-exposed groups, these lipids were highly abundant in the necrotic regions of breast tumours when compared with the control group. The team inferred that the metabolism of these tumour-regulating lipids was interrupted in the breast tumours following exposure to BPS.
The team also discovered the distribution of 12 protein biomarkers, including the proteins associated with breast tumour proliferation and deterioration. The results demonstrate the important function of BPS exposure-related lipids and proteins, and future research will further explore their role in breast cancer.
The research team then compared the distribution of lipids and proteins in the BPS-exposed mice groups with those observed in human breast cancer tissue samples, and similar patterns were identified. While not all tumours will become cancerous, based on the benchmark results, the team deduced that exposure to BPS will increase the risk of breast cancer in humans.
“Our research findings show that BPS may potentially be associated with breast tumour proliferation, and further study is deemed necessary to unveil more about the chemical’s possible negative impact on human health,” Prof Cai said. “In the long run, industry may need to identify safer substitutes for both BPA and BPS. Policymakers should also establish relevant safety standards and regulations for the use of BPS.”
Please follow us and share on Twitter and Facebook. You can also subscribe for FREE to our weekly newsletters and bimonthly magazine.
Clogged 'drains' in the brain an early sign of Alzheimer’s
'Drains' in the brain, responsible for clearing toxic waste in the organ, tend to get...
World's oldest known RNA extracted from woolly mammoth
The RNA sequences are understood to be the oldest ever recovered, coming from mammoth tissue...
The voice of reason: natural language interfaces to transform lab informatics
In everyday life, voice interaction with technology can save time and reduce friction. The same...

