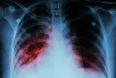
Flu-based vaccine can protect against tuberculosis
Researchers at Sydney’s Centenary Institute have come one step closer to developing a more effective vaccine against the world’s deadliest infectious disease, demonstrating how an Influenza A-based vaccine can be used to activate immune cells in the lungs — and help protect against tuberculosis in the process.
As the world’s single most deadly infectious disease, tuberculosis is a serious threat both worldwide and in our immediate region, with more than 50% of cases occurring in the Asia–Pacific region. Currently, a vaccine known as BCG is given to babies and young children to immunise them against tuberculosis; however, its immunity wanes after about 15 years, meaning it is largely ineffective in adults.
Seeking to solve this problem, Centenary researchers have demonstrated how a subunit vaccine (based on the Influenza A virus) can be used to activate special memory T-cells in the lungs, which in turn helps protect against tuberculosis. Five years in the making and now published in the journal Mucosal Immunology, their study has led to a significant breakthrough in the quest to eliminate tuberculosis.
“Previously TB vaccines were given by injection, but delivery of the vaccine to the lung may provide improved protection,” said Professor Warwick Britton, Head of Centenary’s Tuberculosis Research Program.
“In this study we proved that immunisation of the lungs with an influenza-based vaccine stimulated memory T-cells in the lungs that were able to protect against virulent TB infection. We are already using this breakthrough to develop other subunit vaccines, suitable for delivery to the lungs in humans.”
With its low-risk status and high healthcare standards, Australia has been pinpointed as one of the countries best placed to eliminate tuberculosis entirely. It is hoped that ongoing research will be bolstered by those working on the ground in regions with a high prevalence of TB.
Babies of stressed mothers likely to get their teeth earlier
Maternal stress during pregnancy can speed up the timing of teeth eruption, which may be an early...
Customised immune cells used to fight brain cancer
Researchers have developed CAR-T cells — ie, genetically modified immune cells manufactured...
Elevated blood protein levels predict mortality
Proteins that play key roles in the development of diseases such as cancer and inflammation may...

