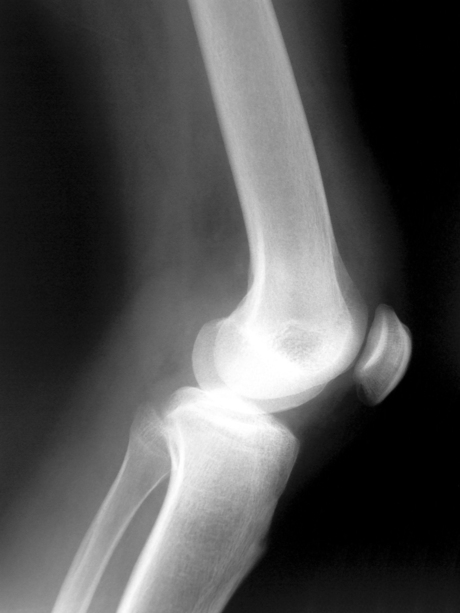
Stem cell trial for knee osteoarthritis underway
Regeneus (ASX:RGS) shares jumped over 20% today as the regenerative medicine company announced the first patient to be treated by Progenza, its mesenchymal stem cell (MSC) therapy treatment for knee osteoarthritis.
The patient was the first of 20 participants in the STEP (Safety, Tolerability and Efficacy of Progenza) clinical trial. The primary objective of the trial is to evaluate the safety and tolerability of Progenza, while the secondary objectives are to investigate the effect of the product over 12 months.
The stem cells in Progenza are sourced from adipose tissue, which is readily available and can be sourced in large initial quantities — the company has already demonstrated the capacity to produce over 10 million therapeutic doses of Progenza from a single donor. When Progenza cells are injected into a damaged joint or tissue, the MSCs have the potential to reduce pain and inflammation and slow the progression of the disease.
As a review of the sentinel patient’s safety data by the STEP safety oversight committee identified no safety concerns, enrolment in trial is now open to the remainder of the first cohort of 10 patients. A second and final cohort will receive a higher dose of cells.
Regeneus (ASX:RGS) shares peaked at $0.16 — a gain of 23.08% — at around 12.30 pm on Monday. They had dropped slightly to $0.155 as of around 1.30 pm.
Babies of stressed mothers likely to get their teeth earlier
Maternal stress during pregnancy can speed up the timing of teeth eruption, which may be an early...
Customised immune cells used to fight brain cancer
Researchers have developed CAR-T cells — ie, genetically modified immune cells manufactured...
Elevated blood protein levels predict mortality
Proteins that play key roles in the development of diseases such as cancer and inflammation may...

