AI-based method replaces chemical staining of tissue
 
Researchers from the University of Eastern Finland, the University of Turku and Tampere University have developed an artificial intelligence-based method for virtual staining of histopathological tissue samples. The results of their study have been published in the journals Laboratory Investigation and Patterns.
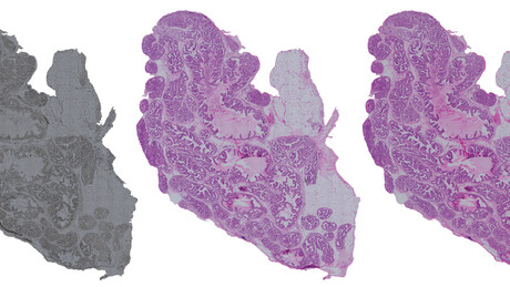
Chemical staining has been the cornerstone of studying histopathology for more than a century and is widely applied in, for example, cancer diagnostics. As explained by the University of Eastern Finland’s Leena Latonen, who led the experimental part of the study, “Chemical staining makes the morphology of the almost transparent, low-contrast tissue sections visible. Without it, analysing tissue morphology is almost impossible for human vision. [But] chemical staining is irreversible, and in most cases it prevents the use of the same sample for other experiments or measurements.”
The artificial intelligence method developed in the new study produces computational images that very closely resemble those produced by the actual chemical staining process. This virtually stained image can then be used for inspecting the morphology of the tissues.
The first part of the two-phase study focused on optimising the tissue sample processing and imaging steps, and was carried out by doctoral researcher Sonja Koivukoski from the University of Eastern Finland. The second part focused on optimising virtual staining based on generative adversarial neural networks, with doctoral researcher Umair Khan from the University of Turku as the lead developer.
“Deep neural networks are capable of performing at a level we were not able to imagine a while ago,” Khan said. “Artificial intelligence-based virtual staining can have a major impact towards more efficient sample processing in histopathology.”
Virtual staining reduces both the chemical burden and manual work needed for sample processing while also enabling the use of the tissue for other purposes than the staining itself. Furthermore, the virtual staining method requires no special hardware or infrastructure beyond a regular light microscope and a suitable computer.
“The results are very widely applicable,” said Associate Professor Pekka Ruusuvuori from the University of Turku, who led the computational part of the study. “There are plenty of topics for follow-up research, and the computational methods can still be improved. However, we can already envision several application areas where virtual staining can have a major impact in histopathology.”
AI tool detects tiny brain lesions in children with epilepsy
More accurate diagnosis of cortical dysplasia would lead to faster referrals for epilepsy...
AI on par with dermatologists in assessing common skin cancer
While squamous cell carcinoma diagnosis is often easy, the challenge lies in the preoperative...
Survey reveals data challenges involved in lab digitalisation
Data stands at the centre of transformation in today's digital labs — both as a major...


 
 
