Perioperative trial offers insights into brain cancer treatment
 
Victorian brain cancer researchers have used an innovative process to learn how a new drug suppresses tumour activity, providing hope to patients with low-grade gliomas (LGGs).
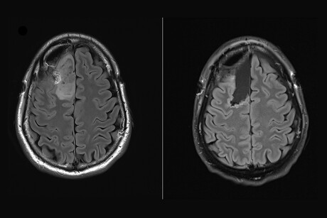
Published in the journal Nature Medicine, this is the first clinical trial to be conducted through the pioneering Brain Perioperative platform, or ‘BrainPOP’, which is led by The Brain Cancer Centre and funded by the Victorian Government. Perioperative clinical trials mean that surgical biopsies are taken before and after treatment.
LGGs are a slow-growing type of brain cancer that significantly impact the lives of patients, many of whom are young adults in their prime. Characterised by a specific mutation in a gene called IDH, current treatments are limited and LGGs have long been considered incurable — but that could all be about to change.
The new trial saw researchers from The Royal Melbourne Hospital, the Walter and Eliza Hall Institute (WEHI) and the Peter MacCallum Cancer Centre (Peter Mac) utilise a drug called Safusidenib — an oral inhibitor targeting the mutated IDH1 gene — observing its effect on LGG tumour samples both before and after treatment. Trial participants took the drug prior to any other cancer treatment — said to be a world first for IDH inhibitors — enabling researchers to assess the activity of this novel treatment within the brain.
As explained by Dr Jim Whittle, a medical oncologist specialising in neuro-oncology at Peter Mac and Laboratory Head at The Brain Cancer Centre and WEHI, perioperative clinical trials are regularly used in other cancers to understand the true effect of new and emerging treatments. “But with the complex and sensitive nature of neurosurgeries, this approach has not previously been used in brain cancer,” he said.
“This new study reveals the power of BrainPOP as a safe and effective platform for accelerating our understanding of new treatments and their real-world impact in the brain.
“For the first time, we’ve seen what a drug is doing in the brain with incredible detail, helping us to clearly identify the next steps for personalising treatment and predicting who would most benefit.”
While it is too soon to know if these medications will ultimately improve outcomes or extend lives for these patients, plans are now underway for pivotal studies of Safusidenib in diffuse IDH1 mutant gliomas.
“We are deeply grateful for the Victorian Government’s support for the BrainPOP platform, which is vital to our ultimate goal of radically transforming outcomes for patients with brain cancer,” Whittle said.
Widespread resistance to common antibiotics is increasing: WHO
Increasing resistance to essential antibiotics poses a growing threat to global health, with one...
Dopamine helps our brains to let go of memories
In a discovery that could reshape how we think about memory, researchers at Flinders University...
Vaccine for elephant herpesvirus found to be safe
The vaccine could prevent deadly elephant endotheliotropic herpesvirus in calves — the...

 
 

 
 
